Семейная стоматология

Исправление прикуса с помощью брекетов

Получите бесплатную консультацию специалиста по исправлению прикуса брекет-системами!

Сколько стоят брекет-системы

Цены на брекет-системы

  • Металлическая 19500

    за одну челюсть, от

  • Самолигирующая металлическая 29500

    за одну челюсть, от

  • Керамическая 28500

    за одну челюсть, от

  • Самолигирующая керамическая 34500

    за одну челюсть, от

  • Сапфировая 29500

    за одну челюсть, от

  • Элайнеры 2700 євро

    индивидуальный курс на 2 челюсти, от , в грн. по текущему курсу НБУ

Нужна консультация по ценам?

Оставьте ваши контакты – мы свяжемся с вами и запишем на прием!

Типы брекетов

Металлические брекеты

Металлические брекеты изготавливают из нержавеющей стали, их основные преимущества – доступность и прочность.

Керамические брекеты

Изготовляют из керамических материалов. Брекеты имеют естественный цвет, что делает их менее заметными. Основные преимущества: прочность, стойкость к покраске пищевыми продуктами, незаметность на зубах.

Лингвальные брекеты

Изготовляют из нержавеющей стали. Брекеты прикрепляются к внутренней стороне зубов и совсем незаметны, даже когда улыбаетесь.

Сапфировые брекеты

Изготовляют из искусственного многокристального сапфира. Преимущества: премиумкласс, прочность, стойкость к покраске пищевыми продуктами, прозрачность, подобные украшению.

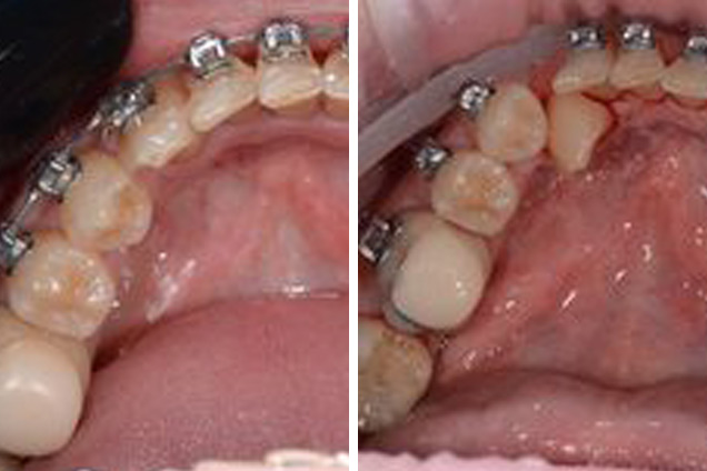
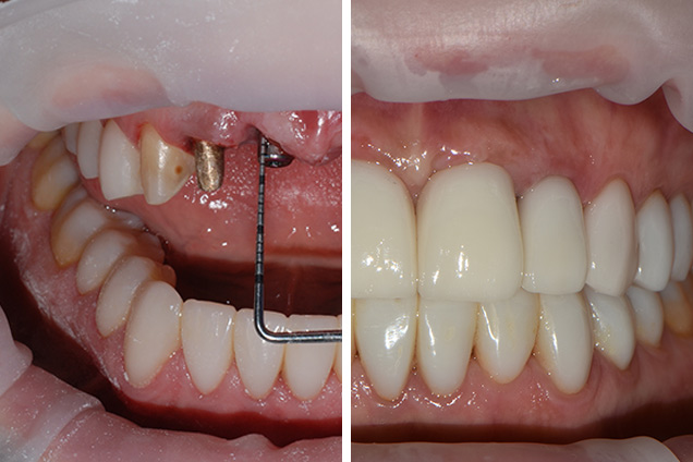
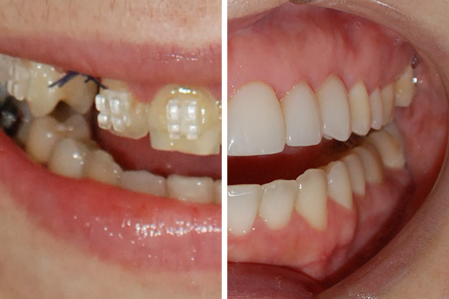
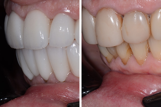
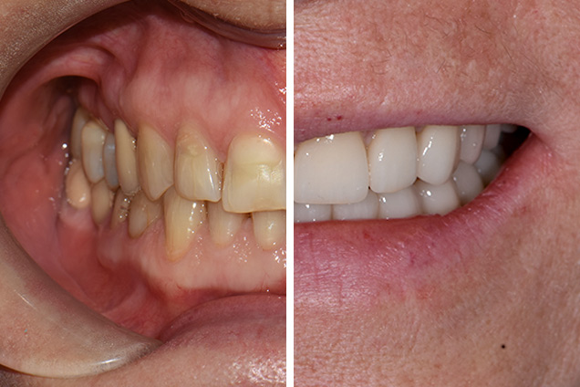
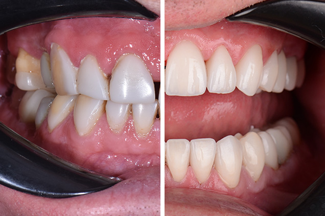
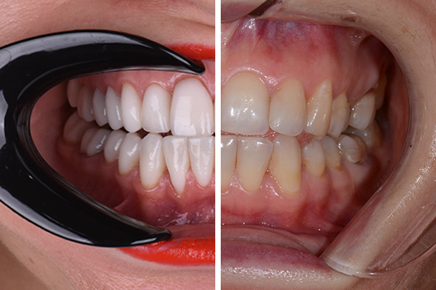
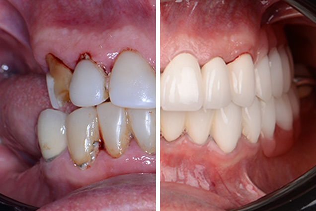
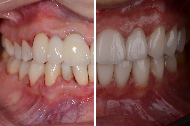
До - После

Примеры наших работ

Специалисты illi DENTAL предпочитают самолигирующие брекеты!

Преимущества самолигующих брекетов

Самолигирующие брекеты предоставляют пациентам возможность исправить прикус с меньшими усилиями и меньшим дискомфортом.

Уменьшена потребность в регулярных коррекциях

удобные в
использовании

Лучшая гигиена

отсутствие лигатур позволяет легче чистить зубы, уменьшая риск развития кариеса и воспаления десен.

Меньше дискомфорта

вследствие более равномерного давления на зубы - меньше болевых ощущений

Оптимальное время лечения

продолжительность зависит
от состояния зубов

Как мы работаем?

Этапы установки брекетов

1. Консультация и планирование

Перед установкой брекетов врач проводит консультацию, во время которой определяется, нужно ли устанавливать брекеты, а также какой вид брекетов следует выбрать с учетом финансовых возможностей пациента. Разрабатывается индивидуальный план лечения с указанием сроков носки и количества коррекционных визитов.

2. Подготовка полости рта

Первым шагом является очищение и обработка зубов для улучшения адгезии брекетов. Следующий шаг — установление ортодонтического ретрактора, удерживающего губы и щеки пациента. Врач легко добирается до всех рабочих зон, а пациенту нет необходимости напрягаться, чтобы удерживать рот открытым.

3. Установка брекетов

Брекеты прикрепляются к каждому зубу с помощью специального клея или бонда. Это самый важный шаг, поскольку неправильно установленный брекет помешает достижению желаемого результата. Затем в брекеты вставляют металлическую дугу.

4. Регулировка и фиксация

Лікар регулює брекети і дугу, щоби створити оптимальний тиск на зуби. Використовуються спеціальні гумові або металеві кільця для фіксації дуги в брекетах (виняток — самолігувальні брекети).

5. Инструкции и визиты к врачу

Врач предоставляет инструкции по уходу за брекетами и гигиены полости рта. Пациент должен регулярно посещать ортодонт для регуляции брекет-системы.

6. Снятие брекетов

После достижения желаемого результата и завершения лечения брекеты снимаются.

Наши специалисты

Врачи illi DENTAL

Другие услуги

Популярные вопросы

Устанавливать брекеты обычно не больно. Однако в течение нескольких дней после установки может возникнуть дискомфорт или боль. Пациенты могут ощущать раздражение слизистой рта и натирание мягких тканей.

Да. Но рекомендуется носить специальную спортивную капу, чтобы защитить брекеты и зубы во время тренировок и соревнований.

Так, брекеты требуют особого ухода. Пациенты получают инструкции по чистке и уходу за брекетами.

Не рекомендуется удалять брекеты самостоятельно. Это должно быть сделано только врачом после завершения лечения.

Стоимость лечения с помощью брекетов варьируется в зависимости от многих факторов, в частности, типа системы и сложности коррекции. В стоматологии illi DENTAL разработаны пакеты с ценовыми предложениями на любой кошелек. Врач подберет оптимальный вариант для вашего случая с учетом ваших финансовых возможностей.

Чтобы узнать, подходят ли вам брекеты и какой вид системы самый оптимальный для вашего случая, следует обратиться к стоматологу или ортодонтологу для консультации и планирования лечения

Нужна консультация по ценам?

Оставьте ваши контакты – мы свяжемся с вами и запишем на прием!

Заказать
обратный звонок

Оставьте ваши контакты, мы свяжемся с вами и запишем на прием!

Замовити
зворотній дзвінок

Залиште ваші контакти, ми зв’яжемося з вами та запишемо на прийом!

Хотите узнать о наших новых акциях?

Перейдите по ссылке и получайте уникальные предложения